처음 / 진료 / 심미치료 /

치아미백(Teeth Whitening)

치아 미백은 음식, 음료, 흡연, 노화 등으로 인해 착색된 치아를 본래보다 밝고 자연스럽게 개선하는 심미치료입니다. 단순히 표면 세정에 그치는 스케일링과 달리, 과산화수소 성분이 치아 내부에 침투해 색소 분자를 분해하는 원리로 진행됩니다. 치과에서 시행하는 전문가 미백(최대 15% 농도)은 자가 미백((최대 3% 농도)보다 농도가 높아 효과가 뛰어나고, 잇몸 보호제 도포 등 안전 절차를 거쳐 부작용을 최소화할 수 있습니다.

치아 미백제는 반드시 식약처에서 허가받은 제품을 사용해야 안전합니다. 목동나무치과는 오스템 뷰티스 15 미백 시스템을 도입해 허가된 미백겔과 전용 블루 LED 장비로 안전하면서도 효과적인 미백을 제공합니다. 오스템뷰티스15는 고농도의 전문가용 미백제로, 뛰어난 미백 효과는 물론 시술 중 치아 시림을 최소화하는 지각과민 방지 성분을 포함하고 있어 더욱 안전합니다.

치아 미백 소개

치아 미백은 치아의 본래 색상보다 더 밝고 자연스러운 색조를 회복하거나 개선하는 심미 치과 치료입니다. 음식, 음료, 흡연, 노화 등 여러 요인으로 치아가 착색될 수 있으며, 미백은 단순한 표면 세정(스케일링)과 달리 치아 내부의 착색 물질을 분해하여 본래의 밝은 색을 되찾도록 돕습니다. 현대 사회에서 치아 색은 개인의 인상을 좌우하는 중요한 요소이며, 미백 치료는 심미적 만족감과 자신감 회복에 효과적입니다.

착색의 원인

치아 착색은 크게 외부 요인과 내부 요인으로 나눌 수 있습니다.

  • 외부 요인: 커피, 홍차, 녹차, 와인 등 탄닌 성분이 많은 음식·음료, 흡연(니코틴·타르), 구강 위생 불량으로 인한 치태·치석 축적에 의해 발생합니다. 미백치료 시 이러한 외인성 변색은 반응이 빠르고 결과도 좋은 편입니다.
  • 내부 요인: 노화로 인한 상아질 확대로 전체 색조가 어두워질 수 있으며, 충치나 외상으로 혈액 성분(헤모글로빈)이 침착되어 변색이 생길 수 있습니다. 잇몸 출혈이 반복되는 경우 변색이 진행될 수 있으므로 조기 치료가 필요합니다.

치아 미백의 원리

치아 미백제의 주성분인 과산화수소(H₂O₂) 또는 과산화카바마이드(Carbamide Peroxide)는 치아의 미세한 구조로 침투하여 활성산소를 생성합니다. 생성된 활성산소는 색소 분자의 화학 구조를 분해·변화시켜 치아를 밝게 만듭니다. 즉, 표면 오염을 벗겨내는 것이 아니라 색소 분자 자체의 구조를 변화시키는 화학적 작용으로 미백 효과를 얻습니다. 이 원리는 표백제로 누렇게 변한 옷을 밝게 만드는 것과 유사합니다.

자가 미백 vs 전문가 미백

자가 미백과 전문가 미백은 과산화수소 농도에서 차이가 큽니다.

  • 치과 전문가 미백: 치과 의료진이 수행하며, 식약처 허가 기준에 따라 최대 15% 이하의 고농도 미백제를 사용합니다. 잇몸 보호 등 안전 조치를 통해 부작용을 최소화하고, 시술 중 문제가 발생하면 즉시 대처할 수 있습니다.
  • 자가 미백: 가정에서 사용하는 제품으로 과산화수소 농도는 3% 이하입니다. 효과를 보기 위해 장기간 반복 사용해야 하며, 잇몸 자극이나 불균일한 결과가 나타날 수 있습니다.

과산화수소는 농도가 높을수록 구강 점막에 화상이나 염증을 일으킬 수 있고, 장기간 과도 사용 시 치아의 무기질이 손실되어 치아가 약해질 수 있으므로 전문가의 감독 하에 단기간 안전하게 진행하는 것이 권장됩니다.

치아미백제로 허가받은 제품 사용

가정용 미백제는 의약외품으로 과산화수소 농도 3% 이하로 제한됩니다. 전문가용 미백제는 식약처 규정상 과산화수소 농도 15% 이하입니다. 15% 이상 제품이나 허가되지 않은 임의 제조 제품은 고농도와 농도 불균일로 인해 치아·잇몸 손상 위험이 큽니다. 특히 직구로 구입한 미백제는 위험한 성분을 함유하고 있거나 농도가 기준치 이상으로 부작용이 많이 보고되고 있어 조심할 필요가 있습니다.

치과에서 미백 시 사용하는 제품이 허가받은 제품인지 확인하는 것이 좋습니다. 오스템뷰티스15는 식약처 허가를 받은 제품으로, 개별 포장 형태라 치과에서 직접 확인할 수 있습니다.

약학정보원 오스템뷰티스 15 정보

약학정보원 오스템뷰티스 15 정보 효능과 효과

오스템 뷰티스 15 미백 시스템

  • 뷰티스 15 미백겔: 15% 과산화수소를 주성분으로 한 겔 타입의 전문가용 미백제로, 치아에 밀착되어 고르게 작용하며 지각과민 완화 성분(예: 질산칼륨)을 포함하여 시림 증상을 줄입니다.
  • 뷰티스 라이트: 420~520nm 범위의 블루 LED를 사용해 미백제의 활성산소 생성을 촉진하여 시술 효과를 높입니다. 제품 사양에 따라 150~220mW/cm2 출력으로 조사합니다.

오스템 뷰티스 라이트

시술 과정

  1. 구강검진 및 상담: 환자의 구강 상태를 확인하고 미백 가능 여부 및 목표 색조를 설정합니다.
  2. 잇몸 보호제 도포: 고농도 미백제가 잇몸에 닿아 자극을 주지 않도록 잇몸 보호제를 도포합니다.
  3. 미백제 도포: 치아 표면에 미백겔을 고르게 바릅니다.
  4. 블루 LED 비추기: 10~20분씩 2~3회 블루 LED를 비춰 미백 반응을 촉진합니다.

    뷰티스 라이트로 블루 LED를 비춤

  5. 마무리: 미백제를 제거하고 필요 시 지각 과민을 낮춰주는 탈감제를 도포합니다.

스케일링을 먼저 받으면 치아 표면의 착색물질을 제거하여 미백 효과를 극대화할 수 있습니다. 치아 시림 증상이 있는 경우 지각 과민을 낮춰주는 탈감제가 도움이 됩니다.

효과, 간격, 지속 기간

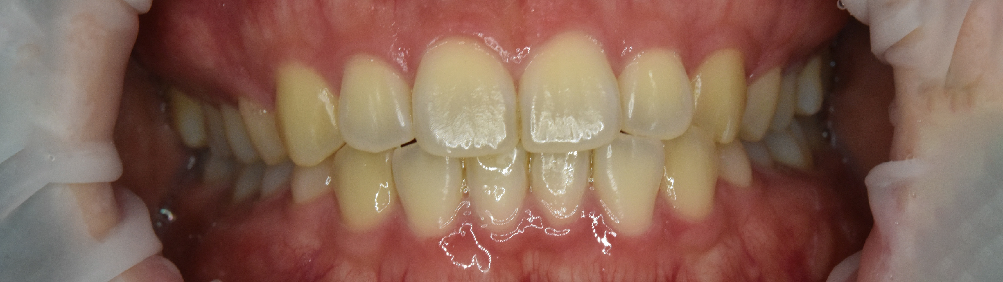
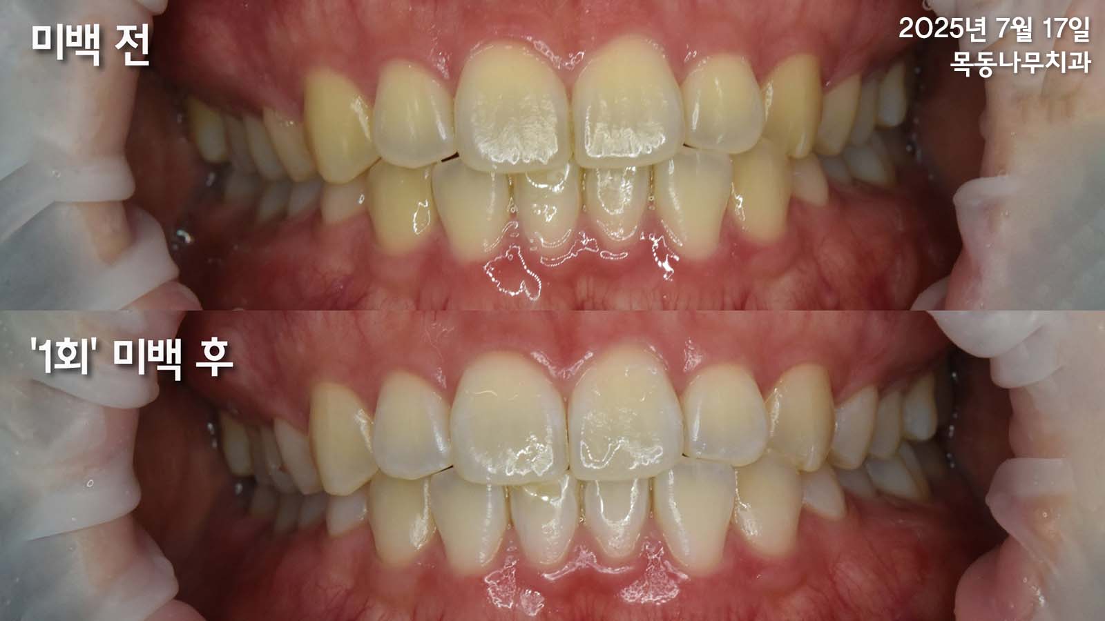
다음 사진은 미백 전과 1회 미백 후를 비교한 사진입니다. 렌즈교환형 카메라 수동 설정으로 촬영하여 아무런 보정 없이 크기만 줄였습니다. 2025년 7월 17일 목동나무치과에서 촬영했습니다. 치아의 짙은 노란색의 농도가 줄어들면서 밝고 자연스러워졌습니다.

치아 미백 전과 1회 미백 후 비교 사진

다음은 위의 사진을 비교가 쉽도록 움직이는 PNG(Animated PNG) 파일로 만든 것입니다.

치아 미백 전과 1회 미백 후 비교 사진

1회 시술만으로도 개선 효과를 볼 수 있습니다. 부작용이 없는 경우 하루에 2회의 시술을 연속 진행하기도 하며, 이후 1주 간격으로 추가 시술을 2회 더 권장합니다. 부작용이 있는 경우 간격을 더 늘립니다.

미백 효과는 약 6개월간 가장 뚜렷하며, 이후 2년에 걸쳐 서서히 감소합니다. 보통 4회 시술 후에는 연 1회 정도 추가 미백을 권장합니다.

부작용 및 주의사항

  • 시술 후 2~7일간 일시적인 치아 시림(지각 과민)이 나타날 수 있으며, 대부분 일주일 내 자연 회복됩니다. 증상이 심하면 내원하세요.
  • 시술 후 2시간 뒤 식사 가능하나, 24시간 동안 색소가 진한 음식·음료·흡연은 피해야 합니다.
  • 시술 직후 치아색이 균일하지 않아 보일 수 있으나 시간이 지나면 개선됩니다.
  • 잇몸에 미백제가 닿으면 자극이 생길 수 있으므로 전문가의 보호 하에 시술받는 것이 안전합니다.

치아미백 후 주의사항

마치며

전문가 미백은 자가 미백보다 농도가 높아 효과가 더 뛰어나며, 반드시 허가된 제품을 사용하여 치과에서 안전하게 시술받는 것이 중요합니다. 오스템뷰티스15와 같은 허가받은 제품은 개별 포장으로 되어 있어 치과에서 직접 확인할 수 있습니다.

목동나무치과는 치아미백제로 허가받은 오스템뷰티스 15를 사용한 치아미백을 비교적 저렴하게 제공합니다. 치아미백하기 전에 받으면 좋은 스케일링도 아주 저렴하게 하고 있습니다.

참고